医院からのお知らせ|高輪の歯医者「TAKANAWA GATEWAY Clinics 歯科・矯正歯科」」

医院からのお知らせ

お知らせ 医院ブログ 症例

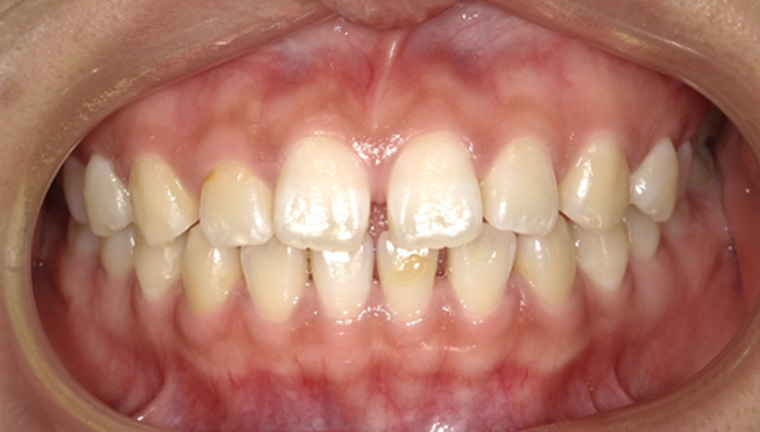
【矯正治療】前突の症例

症例 2026.04.03

【矯正治療】前突の症例

【矯正治療】叢生の症例

症例 2026.04.03

【矯正治療】叢生の症例

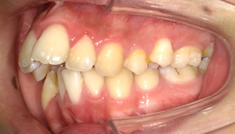
【矯正治療】空隙症例の症例

症例 2026.04.03

【矯正治療】空隙症例の症例

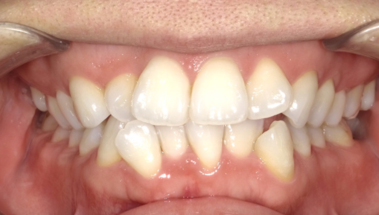
【矯正治療】叢生の症例

症例 2026.04.03

【矯正治療】叢生の症例

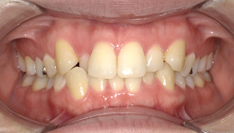
【矯正治療】上顎前突症の症例

症例 2026.04.03

【矯正治療】上顎前突症の症例

ジルコニアクラウンの症例

症例 2026.03.09

ジルコニアクラウンの症例

セラミックインレーの症例

症例 2026.03.09

セラミックインレーの症例

ラバーダムってどんなもの?

医院ブログ 2026.01.26

ラバーダムってどんなもの?

2026年4月1日に高輪ゲートウェイシティ内に開業します

お知らせ 2026.01.01

2026年4月1日に高輪ゲートウェイシティ内に開業します