高輪の歯医者「TAKANAWA GATEWAY Clinics 歯科・矯正歯科」|矯正歯科・小児矯正

矯正歯科・小児矯正

高輪の歯医者「TAKANAWA GATEWAY Clinics 歯科・矯正歯科」では、見た目の美しさだけでなく、噛み合わせや将来の口腔環境まで考えた矯正治療を行っています。患者さま一人ひとりのお悩みやライフスタイルに寄り添い、無理のない治療計画をご提案します。

当院の矯正治療の特長

虫歯治療から矯正まで、同じ担当医が一貫して対応

高輪の歯医者「TAKANAWA GATEWAY Clinics 歯科・矯正歯科」では、矯正治療の前後に必要となる虫歯治療や親知らずの抜歯、治療後のメインテナンスまで、原則として同じ歯科医師が担当します。

年間200症例*の実績をもつ大手医療法人グループにおける矯正治療の教育体制のもとで研鑽を積んだ歯科医師が診療を担当し、治療の経過を継続的に把握しながら矯正治療を進めていきます。

治療のたびに担当が変わることによる不安を減らし、安心して通っていただける体制を大切にしています。

*2024/4/1~2025/3/31までの法人全体の治療実績

通いやすさを考えた料金設定

矯正治療は長期間にわたるため、費用面の負担も重要なポイントです。当院では、治療内容に応じた分かりやすい料金設定を心がけています。

  • 部分矯正:220,000円(税込)~
  • マウスピース矯正:550,000円(税込)~
  • ワイヤー矯正:550,000円(税込)~

※症状や治療計画により費用は異なります。詳しくはカウンセリング時にご説明します。

確かな診断と治療を支える設備

口腔内スキャナーによるデジタル診断

高輪の歯医者「TAKANAWA GATEWAY Clinics 歯科・矯正歯科」では、口腔内スキャナーを使用し、歯型をデジタルデータとして取得しています。従来の型採りと比べてお口への負担が少なく、短時間で精密な情報を取得できるのが特長です。

矯正治療をご検討中の方には、このスキャナーを用いた簡易シミュレーションを行い、治療後の歯並びのイメージをその場でご確認いただけます。型採りからシミュレーションまでにかかる時間は約30分程度です。これらの検査・シミュレーションは、すべて無料で実施しています。

「まずは自分の歯並びを知りたい」「治療後のイメージを見てから検討したい」という方にも、安心してご利用いただけます。

※シミュレーション内容には限界があり、実際の治療結果を保証するものではありません。

骨格・歯・神経の位置を立体的に把握する歯科用3DCT

歯科用CTでは、歯の根の細かな形や向き、顎の骨の状態、神経との位置関係を立体的に確認できます。

当院では主に親知らずの抜歯や根管治療で3DCTの撮影を行いますが、矯正治療でもより効率的に歯を動かすプランニングを行うために3DCTの撮影を行っております。

お顔全体のバランスを確認するセファロ分析

セファロ分析(頭部X線規格写真)では、お口と歯だけでなく、お顔全体のレントゲン撮影を行い、顎や顔全体の骨格バランスを確認します。歯並びや噛み合わせはお顔全体のバランスと密接に関係しており、矯正治療を行ううえで重要な判断材料となります。

当院の矯正治療では、セファロレントゲンを必ず撮影し、その分析結果をもとに、患者さま一人ひとりのお顔のバランスに適した歯並びを目指して治療計画を立案します。

また、小児矯正では、顎の骨や頭の骨が成長段階にあるため、成長の変化を確認する目的で定期的にセファロレントゲン撮影を行いながら治療を進めていきます。成長のタイミングを考慮し、お口と顎の発育に配慮した矯正治療を行うよう努めています。

痛みに配慮した矯正治療

「矯正治療は痛い」———矯正治療を検討したことがある方であれば、一度は耳にしたことのある言葉ではないでしょうか。実際、矯正治療では歯が動く過程で、多少の痛みや違和感を伴うことがあります。

当院の矯正治療では、「ライトフォース」という考え方をもとにした治療を行っています。従来の矯正治療と比べ、歯にかかる力を抑えることで、痛みや不快感の軽減が期待できます。 この考え方はとてもシンプルで、歯にかける力を必要以上に強くしないことで、歯や周囲組織への負担を抑えるというものです。

ここで、「歯にかかる力を弱くすると、歯の移動に時間がかかるのでは?」と疑問に思われる方もいらっしゃるかもしれません。

しかし、これまでの研究により、歯の移動に適した力は、歯の周囲の毛細血管を圧迫しすぎない程度であることが分かっています。つまり、強い力をかければ歯が早く動くわけではなく、適切な力を継続してかけることが重要だとされています。

当院では、このライトフォースの考え方に基づいた矯正装置を使用し、歯の動きと痛みのバランスに配慮した矯正治療を行っています。痛みへの不安から矯正治療をためらっている方も、まずはお気軽にご相談ください。

※痛みの感じ方には個人差があります。

患者さまのニーズに合わせた矯正プラン

結婚式やイベントを控えている方

結婚式や前撮りなど、大切なイベントを控えている方には、日程に合わせた矯正治療計画の立案が可能です。式の前後にあわせて、一時的な装置の取り外しなどにも対応していますので、見た目が気になる時期も安心して治療を進めていただけます。

治療後の後戻りを治したい方

過去に矯正治療を受けたものの、歯並びが戻ってきてしまった方には、部分矯正による治療をご提案します。気になる部分のみを対象とし、ワイヤー矯正やマウスピース矯正を用いて治療を行います。短期間でリーズナブルなプランをご用意しています。

抜歯に抵抗がある方

抜歯が必要かどうかは、歯並びや顎の状態によって異なります。当院では、不要な抜歯は行わず、できる限り歯を残す治療計画を検討します。抜歯に不安がある場合は、ご希望を伺いながら別の治療方法についてもご説明します。

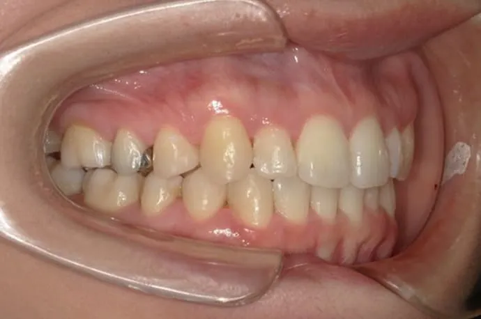
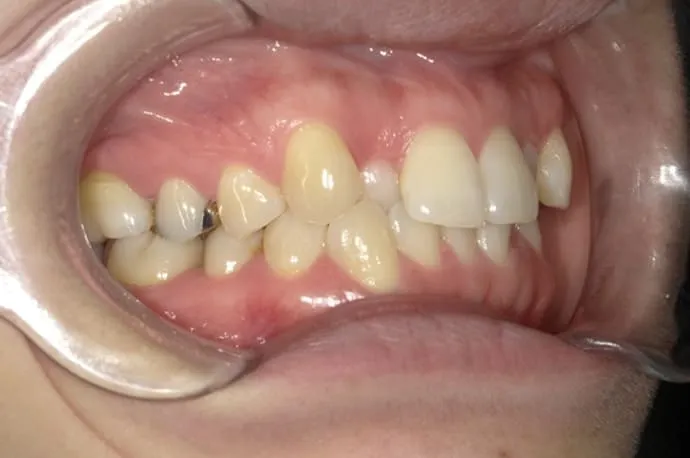
下記画像は、他院にて抜歯が必要と診断された患者さまの症例です。当院でも同様の診断結果でしたが、ご本人のご希望を踏まえ、抜歯を行わずに矯正治療を実施しました。患者さまのご協力もあり、良好な治療結果につながった一例です。

※治療結果には個人差があり、すべての方に同様の結果を保証するものではありません。

非抜歯矯正の症例

治療前

治療後

症例タイトル 中程度叢生に対して非抜歯で矯正治療を行なった症例
患者さまの主訴 歯並びを治したい
治療内容 矯正治療
患者さまの年齢 25歳
患者さまの性別 女性
治療期間 1年半
治療にかかった総額 約70万円(税込)
治療のメリット ・歯並びの改善
治療する上での リスク・副作用 ・治療中の痛み

なるべく目立たずに矯正したい方

当院では、表側ワイヤー矯正に加え、マウスピース矯正や裏側ワイヤー矯正など、見た目に配慮した矯正装置もご提案しています。患者さまのお口の状態やライフスタイル、ご希望に合わせて極力目立たない治療方法をご提案できますので、詳しくは担当医までお気軽にご相談ください。

小児矯正について

高輪の歯医者「TAKANAWA GATEWAY Clinics 歯科・矯正歯科」では成人矯正だけでなく、5~6歳頃から始める小児矯正にも対応しています。ただし、小児期から矯正治療を行う場合、多くのケースで成長後に仕上げの矯正が必要になることがあります。これは、成長途中では骨格の発育が完了しておらず、将来的な歯並びや噛み合わせとの調和を最終判断できないためです。

そのため当院では、小児矯正終了後も定期的な経過観察を行い、必要に応じて仕上げ矯正の必要性を見極めています。

小児期から矯正を始めるメリット

  • 歯が動きやすく、治療を進めやすい
  • 前歯を中心とした治療が多く、笑顔の印象が整いやすい
  • 顎の骨の良好な成長をサポートできる
  • 虫歯になりにくい歯並びを目指せる
  • 将来的に抜歯を避けられる可能性がある

近年は、マウスピース矯正の普及により、お子さまへの負担を抑えた矯正治療も可能になっています。

お子さまの歯並びについて不安がある方は、どうぞお気軽にご相談ください。特に、反対咬合や歯のすき間・重なりが目立つ場合は、小児期からの矯正が適していることも多いため、一度のご相談をおすすめしています。

矯正治療の流れ

STEP 01

矯正相談

当院では、矯正治療をご検討中の患者さまを対象に、初診時のご相談を無料で実施しています。お口の中やお顔の状態を簡単に確認したうえで、口腔内スキャナーを用いた簡易的なシミュレーションを行い、治療後のイメージをご確認いただけます。

STEP 02

精密検査・診断

お口の中やお顔の写真、レントゲン撮影、精密なシミュレーションを通して、患者さま一人ひとりの状態に合わせた治療計画をご提案します。

STEP 03

装置の装着・治療開始

歯にブラケットを装着し、ワイヤーを通して矯正治療がスタートします。必要に応じて、抜歯や補助装置の装着なども段階的に行っていきます。

STEP 04

治療期間中

治療期間中は、平均して1ヶ月に一度ご来院いただき、調整を行います。歯の動き方には個人差があるため、担当医が毎回状態を確認しながら、治療計画を随時ブラッシュアップしていきます。治療中に不安なことやご相談があれば、いつでもお気軽にお申し付けください。

また、矯正治療中はブラケットが外れてしまったり、ワイヤーが頬に当たって痛みを感じたりするなど、思わぬトラブルが起こることもあります。当院では随時急患対応を行っておりますので、我慢しすぎず、お気軽にご連絡ください。

STEP 05

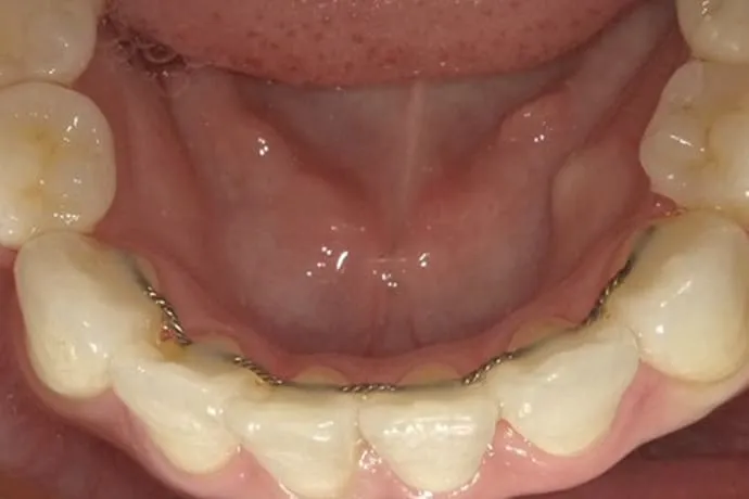
保定期間

歯並びが整ったら、矯正装置(ワイヤー)を外していきます。ここで治療が終了したと思われる方も多いのですが、実はこの後の1~2年が、歯の後戻りを防ぐためにとても重要な期間となります。

当院では、写真のように歯の裏側に細いワイヤーを装着する方法や、マウスピース型の保定装置など、患者さま一人ひとりの状態に合わせて最適な方法をご提案しています。

これらの保定装置は、特に最初の1年間はできるだけ長時間装着していただくことで、後戻りのリスクを抑えることができます。1~2年が経過し、後戻りが見られなければ、その後は定期検診をおすすめし、矯正治療はひと段落となります。