高輪の歯医者「TAKANAWA GATEWAY Clinics 歯科・矯正歯科」|審美歯科・ホワイトニング

審美歯科・ホワイトニング

審美歯科治療は、
ただ歯を白くするだけの治療ではありません

  • 歯にコンプレックスがあり、思い切り笑えない
  • 前歯の大きさが気になる
  • ガミースマイルを改善したい
  • 他院でセラミック治療を受けたが、仕上がりに満足できない

このようなお悩みを抱えたまま、日々を過ごしていませんか?どんなに小さなことでも構いません。まずはお気軽にご相談ください。高輪の歯医者「TAKANAWA GATEWAY Clinics 歯科・矯正歯科」では、審美治療に精通した歯科医師が患者さまのお話を丁寧に伺い、一緒に最適な解決方法を考えていきます。

歯の形や色は、患者さまと一緒に決めていきます

審美歯科治療とは、歯の色・形・大きさ・歯並び、そして笑ったときの歯ぐきや口元全体のバランスまで考慮し、自然で美しい笑顔を目指す治療です。

美しいスマイルには共通点がありますが、歯の形や大きさ、歯の白さのお好みは患者さまお一人おひとりで異なります。当院では、美しいスマイルに共通する黄金比を大切にしながら、患者さま一人ひとりのご希望や価値観に合わせたオーダーメイドの審美歯科治療を心がけています。

当院には、セラミック・ジルコニア専門の
専属歯科技工所があります

高輪の歯医者「TAKANAWA GATEWAY Clinics 歯科・矯正歯科」には専属の歯科技工所があり、セラミックの形や色合いなど、細部にわたるオーダーが可能です。難しい症例では、歯科技工士が治療に立ち会い、歯科医師と直接コミュニケーションを取りながら調整を行います。

また、症例によっては歯科医師が技工所に出向き、歯科技工士と共同でセラミックを製作することもあります。こうした密な連携により、細部までこだわった審美歯科治療を実現しています。

オーダーメイドセラミック治療の流れ

1日目

過去に治療した右上前歯のセラミックが、周囲の歯と色調が合っていない状態です。

被せ物を外すと、内部で虫歯が進行していることが確認されました。

金属の土台を除去し、新しい土台へと交換していきます。

型採りを行い、仮歯を装着します。仮歯の段階でも、できる限り自然で美しい仕上がりになるよう製作します。

型採りした材料に石膏を流し込み、模型を製作します。

模型上でセラミックを何層にも分けて焼き付けていきます。層を重ねることで、より繊細で自然な色調の再現が可能になります。患者さまのお口の写真を参考にしながら、細かな色味を調整します。

オーダーメイドセラミックが完成しました。

2日目

専門の歯科技工士が製作したセラミックを装着します。隣の歯とも色や形の違和感がなく、自然な仕上がりです。

このように、専属の歯科技工士と密に連携することで、細部までこだわったセラミック治療を実現しています。

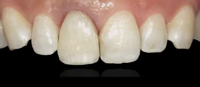
ダイレクトボンディングで、すきっ歯が1日で改善できます

治療前

治療後

ダイレクトボンディングは、お口の中で直接コンポジットレジンを盛り付け、形を整えていく治療法です。

治療は基本的に1回で完了し、歯をほとんど、またはまったく削ることなく行えるため、身体への負担が少ないのが特長です。多くの場合、麻酔を使用せずに治療が可能で、短時間で自然な見た目に仕上げることができます。

こんな方におすすめです

  • 矯正治療までは考えていない方
  • 前歯のすき間や形が気になる方
  • できるだけ歯を削りたくない方
  • できるだけ短期間で治療を終えたい方

このようなお悩みをお持ちの方には、低侵襲で即日対応も可能なダイレクトボンディングが、有効な選択肢のひとつです。

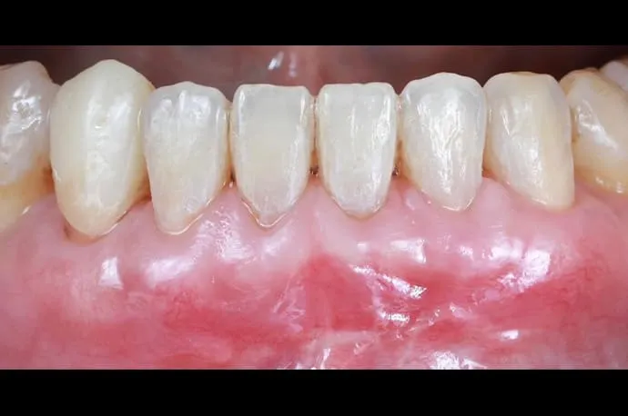
歯ぐきの下がりが気になる方も、ご相談ください

治療前

治療後

歯肉移植(歯ぐきの再生治療)とは

歯肉移植とは、下がってしまった歯ぐきを回復させるための治療です。

歯ぐきが下がると、次のようなお悩みが生じることがあります。

  • 歯が長く見えてしまう
  • 口元の見た目のバランスが崩れる
  • 冷たいものがしみやすくなる
  • セラミックや被せ物の境目が目立つ

といった問題が起こることがあります。

歯肉移植では、ご自身のお口の中(主に上あご)から健康な歯ぐきを採取し、下がってしまった部分に移植します。ご自身の組織を使用することで、自然で安定した歯ぐきの回復を目指します。

審美歯科における歯肉移植の重要性

審美歯科治療では、歯の色や形だけでなく、歯ぐきとの調和がとても重要です。歯ぐきが下がったままの状態では、どれほど美しいセラミックを装着しても、不自然な印象になることがあります。

歯肉移植を行うことで、

  • 歯と歯ぐきのバランスが整う
  • 歯の見える長さが自然になる

など、より完成度の高い審美治療につながります。

治療の特徴・安心ポイント

  • ご自身の歯ぐきを使用するため、なじみやすい
  • 見た目の改善だけでなく、歯の保護にもつながる
  • セラミック治療や矯正治療との併用も可能

症例によっては、セラミック治療の前処置として歯肉移植を行うことで、長期的に安定した美しさを目指します。

こんな方におすすめです

  • 歯ぐきが下がり、歯が長く見える
  • セラミックや被せ物の境目が気になる
  • 審美治療をより自然に仕上げたい

歯を削らずに、自然な白さにするホワイトニング

ホワイトニングは、歯を削ることなく、薬剤の作用によって歯本来の白さを引き出す治療です。高輪の歯医者「TAKANAWA GATEWAY Clinics 歯科・矯正歯科」では、国家資格を有する歯科医師・歯科衛生士のみがホワイトニングを担当し、お口の状態を確認したうえで安全に施術を行います。

歯や歯ぐきへの影響にも配慮しながら、患者さま一人ひとりのご希望やライフスタイルに合わせたホワイトニング方法をご提案します。自然で清潔感のある白い歯を目指したい方におすすめの治療です。

対応ホワイトニングの種類

ホームホワイトニング

ご自宅で行うホワイトニング方法です。歯科医院で作製した専用のマウスピースと薬剤を使用し、毎日一定時間装着します。白さがゆっくりと定着し、色戻りしにくいのが特長です。自分のペースで進めたい方に適しています。

オフィスホワイトニング

歯科医院で行うホワイトニングです。高濃度の薬剤を使用し、歯科医師・歯科衛生士が施術を行います。短期間で効果を実感しやすいため、結婚式やイベントを控えている方にもおすすめです。

デュアルホワイトニング

オフィスホワイトニングとホームホワイトニングを併用する方法です。即効性と持続性の両方を兼ね備えており、より白さを追求したい方に適しています。理想の白さを長く保ちたい方におすすめの方法です。