セラミックインレーの症例|高輪の歯医者「TAKANAWA GATEWAY Clinics 歯科・矯正歯科」の症例
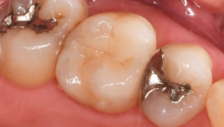
- 治療前

- 治療後

| 症例タイトル |
セラミックインレーの症例
|
| 患者さまの主訴 |
黒いところ気になる
|
| 治療内容 |
セラミックインレー
|
| 患者さまの年齢 |
52歳
|
| 患者さまの性別 |
女性
|
| 治療期間 |
2回
|
| 治療にかかった総額 |
66,000円(税込)
|
監修者情報
-

院長 平沼 象太
-
九州大学歯学部を首席で卒業後、医療法人にて幅広い歯科治療の研鑽を積む。インプラント・矯正治療をはじめ、患者さま一人ひとりのライフステージに配慮したオーダーメイド治療を重視し、丁寧なカウンセリングを大切にしている。
プロフィールを見る
高輪の歯医者


-
〒108-0074
東京都港区高輪2丁目22番1号 THE LINKPILLAR2 5F
TEL.03-5422-6182
平 日 10:00~21:00
土日祝 10:00~18:00
年中無休 ※年末年始のみ休診