症例
【矯正治療】叢生の症例
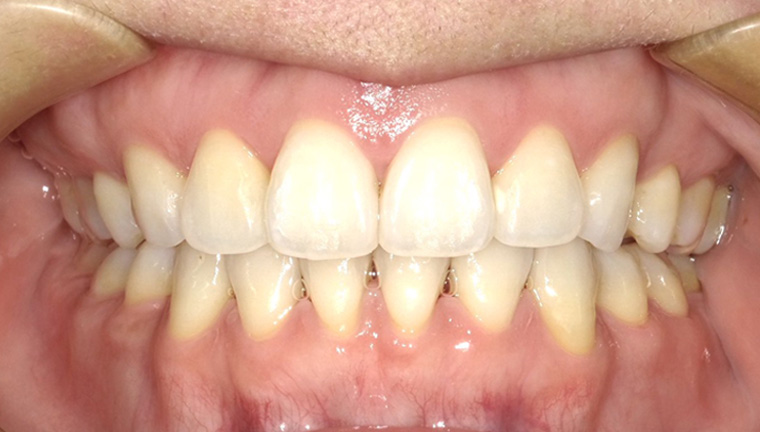
- 治療前

- 治療後

| 症例タイトル | 【矯正治療】叢生の症例(抜歯あり) |
|---|---|
| 患者さまの主訴 | 全体的な歯並びを治したい |
| 治療内容 | ワイヤー矯正 |
| 患者さまの年齢 | 34歳(初診時) |
| 患者さまの性別 | 女性 |
| 治療期間 | 2年4ヶ月 |
| 治療にかかった総額 | ¥770,000(税込) |
| 治療のメリット | ・噛み合わせの改善 ・歯ブラシが容易になる |
| 治療する上での リスク・副作用 |
・治療中の口内炎 ・装置装着時のブラッシングの困難さ |
監修者情報
高輪の歯医者


-
〒108-0074
東京都港区高輪2丁目22番1号 THE LINKPILLAR2 5F
TEL.03-5422-6182
平 日 10:00~21:00
土日祝 10:00~18:00
年中無休 ※年末年始のみ休診
