高輪の歯医者「TAKANAWA GATEWAY Clinics 歯科・矯正歯科」|虫歯治療・予防歯科

虫歯治療・予防歯科

こんな症状は虫歯かもしれません

  • 冷たい物や甘い物を口にするとしみる
  • 噛むと痛みを感じる
  • 歯に黒ずみや穴がある
  • 食べ物がはさまりやすい

気になる症状があれば、早めの相談が大切です。放置すると進行しやすいため、少しでも異変を感じたら高輪の歯医者「TAKANAWA GATEWAY Clinics 歯科・矯正歯科」へご連絡ください。

PICK UP!

痛みがある方の当日対応を行っています

当院は平日21時まで、土日・祝日も休まず診療しております。「急に歯が痛む」「被せ物が取れた」「祝日でどこの歯医者も開いていない」などの緊急時の応急処置にも対応しています。緊急の場合は事前にお電話いただければ、当日中に診療いたします。

※お待ちいただく場合がございますので、ご了承ください。

患者さまに合わせた痛みの少ない治療

高輪の歯医者「TAKANAWA GATEWAY Clinics 歯科・矯正歯科」では、治療中の痛みに不安を感じる方も安心して受診いただけるよう、麻酔の工夫や声かけ、処置の手順を丁寧に行っています。痛みの少ない治療を心がけることで、ストレスを軽減し、治療への恐怖や不安を和らげます。患者さま一人ひとりの状態に合わせた配慮を大切にし、快適で安心な歯科治療を提供しています。

拡大視野で精密に確認し治療

当院では、拡大鏡を使用し、必要に応じてマイクロスコープも活用しています。肉眼では見えにくい細かい部分まで確認することで、虫歯や歯周病の見落としを防ぎ、より精密で安全な治療を実現します。これにより、歯の健康を守りながら、患者さまに負担の少ない丁寧な治療を提供しています。

虫歯除去の流れ

STEP 01

一見すると穴が空いていないように見えますが、内部で虫歯が広がっている状態です。

STEP 02

歯の表層を削ると、中は大きな空洞になっています。

STEP 03

虫歯を染める専用の薬剤を使い、どこまで虫歯が広がっているかを確認します。

STEP 04

染色液で染まった部分を丁寧に除去し、再度染めて確認します。この作業を繰り返し、染まらなくなるまで行います。虫歯は健康な歯に比べて柔らかいため、回転切削器具だけでなく、手作業で少しずつ取り除くこともあります。染色液だけでなく、触ったときの硬さも目安にします。

STEP 05

虫歯の除去が完了すると、かなり大きな空洞になっています。中央の少し青く染まっている部分は、歯の神経が露出している状態です。このように大きな虫歯の場合は、修復の前に根管治療が必要になります。

虫歯の大きさ別の治療の流れ

小さい虫歯:CR充填

治療前

治療後

範囲の小さい虫歯では、除去後すぐに歯に接着剤を塗り、樹脂を詰めます。光で固まる樹脂を少しずつ盛りながら形を再現し、固まる際の収縮で接着面から離れないよう、数回に分けて詰めて固める作業を繰り返します。最後に噛み合わせや形を確認・調整して問題がなければ治療完了です。

症例タイトル CR充填の症例
主訴 矯正が終わったので、虫歯がないか見てほしい
治療内容 CR充填
年齢・性別 28歳・女性
治療期間 1日
治療費 保険診療 約900円(税込) 
メリット 当日の修復治療が可能
リスク・副作用 ・樹脂のため、経年的に着色するリスクがある
・強度の関係上、欠ける可能性がある
・虫歯の大きさによっては処置の痛みが出る可能性があり、その場合追加治療が必要になることがある

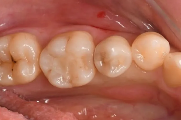
中程度の虫歯:詰め物(インレー)

治療回数 2回
術後の痛み 虫歯が深い場合、冷たい物でしみたり、噛むと痛みが出ることがあります。型採りから詰め物完成まで仮の蓋で過ごすため、噛み合わせによって痛みが出ることもあります。痛みが強い場合や続く場合は追加治療を行うことがあります。

虫歯を除去した後、範囲が大きい場合は樹脂では強度不足になるため型採りを行います。歯型は歯科技工士に送り、模型をもとに詰め物を作成。問題がなければ、次回の来院時に装着します。

詰め物には、保険診療と自費診療の素材がいくつかあります。それぞれ特徴が異なりますので、患者さまのお口の状態に合った最適な材質についてはご相談ください。

大きい虫歯:被せ物(クラウン)・抜髄有無

治療回数 根管治療なしの場合2回(根管治療が必要な場合は、必要に応じ1~3回追加)
術後の痛み 被せ物が必要な深い虫歯では、冷たい物でしみたり、噛むと痛みが出ることがあります。型採りから完成まで仮の蓋で過ごすため、噛み合わせや外れによる痛みが出ることがあります。術後の痛みが強い場合や、長く続く場合は、追加の治療が必要になることがあります。

虫歯を除去した後、残っている歯の量が少ない場合は、部分的な詰め物では歯が割れる可能性があります。その場合は、歯全体を覆う被せ物(クラウン)を使用することで、長期的に安定した状態を保つことができます。材質は保険診療・自費診療の中から選択可能で、患者さまのお口の状態に合わせた適切な材料を提案します。

「8020運動」はご存知ですか?

「80歳になっても、自分の歯を20本以上残そう」という運動で、厚生労働省と日本歯科医師会が推進している国民運動です。

1987年の運動開始当初は達成率がわずか7%でしたが、2016年の調査では51%まで増加しました。予防への意識は確かに高まっています。それでも、今の日本では約2人に1人が目標を達成できていません。では、この目標を達成するためには、どのようなことが大切なのでしょうか?

このデータからもわかるように、「定期検診(プロフェッショナルケア)」はとても大切です。毎日のセルフケアと定期検診を組み合わせることで、健康な口腔環境を長く保つことができます。

定期検診では、汚れが残りやすい部分や注意点を、写真などを使いながら実際に確認していただき、理解を大切にした説明を行います。また、当院では、一人ひとりのお口の状態や特徴に合わせたセルフケアの方法もご提案しています。

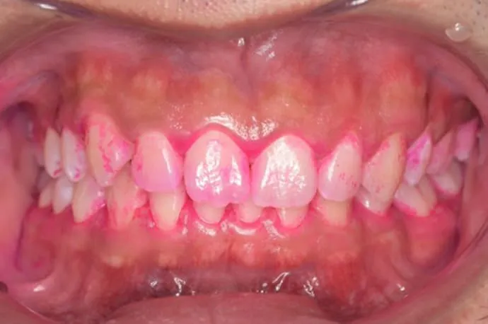
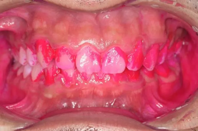
歯磨き指導例

治療前

治療後

こちらの画像は、ブラッシング前後の染め出しの画像です。汚れがついている部位は濃くピンクに染まります。1回の歯磨き指導でも、汚れの付着が大きく減っていることが確認できます。ぜひ一度、高輪の歯医者「TAKANAWA GATEWAY Clinics 歯科・矯正歯科」へご来院いただき、自己流の歯磨きから卒業してみませんか?

症例タイトル 歯磨き指導・染め出しの症例
主訴 歯科検診をしてほしい
治療内容 歯磨き指導・染め出し
治療期間 1日
治療費 保険診療 歯磨き指導300円
その他歯石取りなどの金額が追加
メリット ・口臭や口の中の汚れの軽減
・歯茎の出血や腫れがなくなる
・虫歯のリスクが減る
リスク・副作用 ・汚れ染め出しの液を使うと、一時的に歯の周辺にピンクの色がつく(汚れが落ちればなくなる)

定期検診の流れ

歯周病の検査

歯ぐきや歯の周りの状態をチェックします。

レントゲン撮影

虫歯の早期発見のため、1~2年に1回の撮影を推奨しています。

歯石の除去

歯の表面や歯ぐきの下の歯石を取り除き、炎症を防ぎます。

PMTC(プロフェッショナルケア)

回転ブラシなどを使い、歯の汚れや着色をしっかり落とします。

歯磨き指導

患者さま一人ひとりに合ったブラッシング方法をアドバイスします。

フッ素塗布

虫歯予防のため、歯の表面にフッ素を塗布します。

最終チェック

虫歯や異常がないかを確認し、必要に応じて追加でレントゲン撮影を行います。

こまめな間食は要注意!~虫歯になりやすい生活習慣~

pHとは、お口の中がどれくらい酸性か、あるいはアルカリ性かを示す数値です。7より小さいほど酸性が強く、逆に大きいほどアルカリ性を表します。

図のように、糖分を摂るとお口の中のpHが急激に下がり、30分ほどで最も酸性になります。pHが5.5以下になると、歯の表面が溶け始めます。食後は唾液の作用で徐々に中性に戻りますが、すぐに酸性から中性になるわけではないので、間食や甘い飲み物を頻繁に摂ると、酸性の状態が長く続き、虫歯になりやすくなります。

当院では、虫歯予防に役立つ歯科専売の洗口液「ハビットプロ」も販売しています。

ハビットプロの主な成分と効果

  • CPC:殺菌作用でお口の菌を減らし、汚れの付着も抑えます
  • GK2:抗炎症成分で歯ぐきの腫れを抑えます
  • TXA:出血予防成分で歯ぐきからの出血を防ぎます

CPCには長時間の殺菌効果があり、日々のブラッシングと組み合わせることで、より清潔なお口を保つことができます。歯科医院専売の商品ですので、ご希望の方はお気軽に当院までご相談ください。

一人ひとりのお口を歯科医師が最終チェック

高輪の歯医者「TAKANAWA GATEWAY Clinics 歯科・矯正歯科」では、歯科衛生士による丁寧なクリーニングやフッ素塗布などの予防処置を行った後、必ず歯科医師が最終的にお口の状態を確認します。虫歯や歯周病の兆候を見逃さず、一人ひとりに合わせたアドバイスも行うことで、安心して定期的なケアを受けていただける体制を整えています。