高輪の歯医者「TAKANAWA GATEWAY Clinics 歯科・矯正歯科」|マウスピース矯正

目立たない矯正装置をご希望の方へ

マウスピース矯正は、透明な装置を使用することで、矯正中であることが周囲に気づかれにくい治療方法です。見た目への配慮はもちろん、日常生活への影響をできるだけ抑えながら歯並びを整えたい方に選ばれています。

こんなお悩みはありませんか?

  • 矯正していることを、できるだけ周囲に気づかれたくない
  • 装置が気になって、食事や会話がしにくくなりそう
  • 仕事や日常生活に支障が出ないか心配
  • 本当に自分に合った矯正方法なのかわからない
  • 金属アレルギーがあり、ワイヤー矯正に不安がある
  • スポーツや楽器演奏への影響が気になる

マウスピース矯正を検討される方の多くが、「歯並び」だけでなく、生活への影響に不安を感じています。

高輪の歯医者「TAKANAWA GATEWAY Clinics 歯科・矯正歯科」では、見た目の改善だけを目的とせず、日常生活・お仕事・趣味まで含めて、無理のない治療計画をご提案しています。

当院ではインビザライン*を使用しています

当院のマウスピース矯正では、世界的に実績のあるマウスピース型矯正装置「インビザライン*」を採用しています。精密なデジタルデータをもとに、患者さま一人ひとりに合わせた治療計画を立案します。

*マウスピース型矯正装置 ※薬機法対象外

マウスピース治療の流れ

STEP 01

無料矯正相談

初診時の矯正相談は無料です。お口の中やお顔の簡単なチェックに加え、口腔内スキャナーによる記録採得も無料で行っています。快適かつ短時間で、精度の高いデータを取得することが可能です。

STEP 02

精密検査

歯科用3DCTなどを用いて精密検査を行います。矯正治療前に、虫歯や歯周病の有無を確認し、顎の骨の状態を診査したうえで、無理のない範囲で歯を動かせるかを判断します。

STEP 03

シミュレーション

歯がどのように動いていくのか、最終的にどのような歯並びが期待できるのかを、3D画像による治療計画でご確認いただけます。

STEP 04

装着開始

治療計画にご納得いただいたうえで、マウスピース矯正をスタートします。完成したアライナーをお渡しし、装着方法や注意点について丁寧にご説明します。

マウスピース矯正を成功させるためには、日々の装着管理がとても重要です。当院では、治療開始時に無理なく続けていただくためのポイントをしっかりお伝えしています。

    治療を成功させるために重要な3つのポイント

  • 1日20~22時間の装着
  • 食事、歯みがき、フロス時は取り外す
  • 1~2週間ごとにアライナー交換

STEP 05

調整

6~8週間に一度ご来院いただき、治療計画どおりに歯が動いているかを確認します。

STEP 06

保定

治療終了後は、歯並びを安定させるために透明なマウスピース型リテーナーを使用します。

当院のマウスピース矯正の考え方

高輪の歯医者「TAKANAWA GATEWAY Clinics 歯科・矯正歯科」のマウスピース矯正は、単に歯をきれいに並べることだけを目的とした治療ではありません。見た目の改善はもちろんのこと、噛み合わせのバランスや治療後の後戻りのリスク、歯や歯ぐきなどの歯周組織への影響まで含めて、長期的に安定した口腔環境を目指した矯正治療を行っています。

矯正治療は、歯を動かした時点で終わりではなく、その後も快適に噛めること、健康な状態を維持できることが重要です。そのため当院では、必要に応じて虫歯治療や歯周治療、補綴治療などを組み合わせながら、患者さま一人ひとりのお口の状態に合わせた総合的な治療計画をご提案しています。

「目立たず整える」だけでなく、「きれいな状態を長く保つ」ことまで見据えたマウスピース矯正を大切にしています。

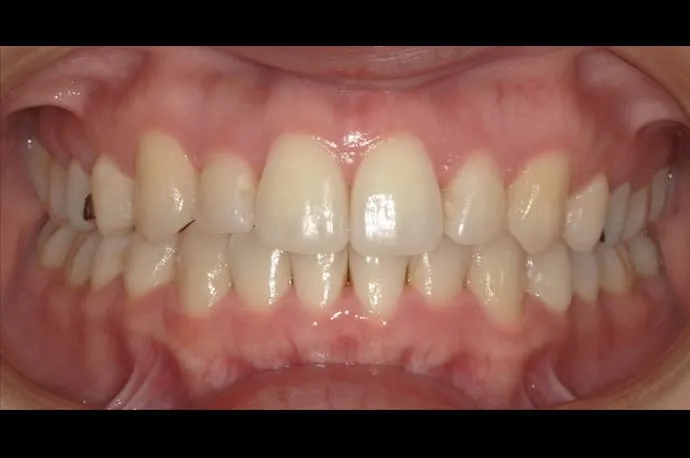
マウスピース矯正の症例

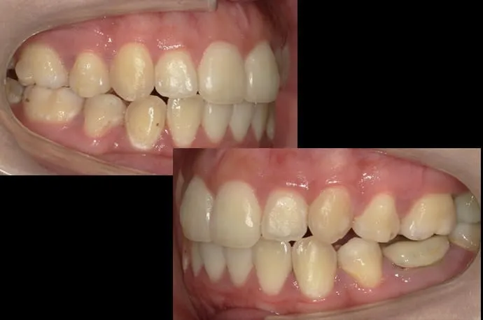
症例①

治療前

治療後

症例タイトル 早期に叢生を治療した症例
主訴 ガタガタが気になる
年齢・性別 20代・女性
治療期間 6ヶ月
治療費 約55万円(税込)
メリット 軽度のガタガタなら1年もかからずに治る場合が多い
リスク・副作用 リテーナーを使用しないと後戻りする可能性がある

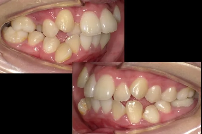
症例②

治療前

治療後

症例タイトル 抜歯を併用して、叢生を治療した症例
主訴 他院でマウスピース矯正は無理と言われた
年齢・性別 20代・女性
治療期間 2年
治療費 約80万円(税込)
メリット 抜歯矯正でも目たたずに治療することができる
リスク・副作用 噛み合わせの調整が難しい場合は、ワイヤー矯正を併用する場合がある

他院で、マウスピース矯正は難しいと言われてしまった方も、当院へぜひご相談ください。

よくある質問

Q.痛みはありますか?

A.歯が動き始める際に、軽い違和感や圧迫感を感じることがあります。多くの場合、数日以内に落ち着き、強い痛みが続くことはほとんどありません。日常生活やお仕事に大きな支障が出るケースは少ない治療法です。

Q.治療期間はどれくらいかかりますか?

A.歯並びの状態や治療目標によって異なりますが、数ヵ月~1年程度が目安となるケースが多くなります。初回の精密検査とシミュレーションで治療期間の目安を詳しくご説明します。

Q.費用はどれくらいですか?

A.治療の難易度や使用する装置によって異なります。当院では治療開始前に総額を明確にご提示し、途中で不明瞭な追加費用が発生しないよう配慮しています。※矯正治療は自由診療です。

Q.通院頻度はどれくらいですか?

A.1~2ヵ月に1回程度の通院が目安です。お仕事やご予定に配慮し、無理のない通院間隔をご提案します。

Q.1日の装着時間はどれくらい必要ですか?

A.1日20時間以上の装着をおすすめしています。食事や歯みがきの際は取り外しが可能なため、ライフスタイルに合わせて続けやすいのが特長です。

Q.後戻りはしませんか?

A.矯正治療後は、歯並びを安定させるための保定期間が重要です。当院では、治療終了後も、歯並びを維持するための装置(リテーナー)を使用し、定期的なチェックを行うことで後戻りを防ぎます。