歯周病治療
大学病院教授をはじめとした
専門家と連携した歯周病治療
高輪の歯医者「TAKANAWA GATEWAY Clinics 歯科・矯正歯科」では、東京科学大学病院(旧 東京医科歯科大学病院)教授をはじめとする歯周病分野の専門家と連携し、科学的根拠に基づいた歯周病治療に取り組んでいます。一人の歯科医師だけで判断するのではなく、専門的な知見を共有しながら、患者さま一人ひとりに合った治療方針を丁寧に検討します。
他院で「歯周病のため抜歯が必要」と言われ、不安を感じている方も少なくありません。歯周病の状態によっては、専門的な治療によって歯を残せる可能性があります。
治療について分からないことや、不安に思っていることがあれば、どうぞ気軽にご相談ください。現在のお口の状態をしっかりと確認したうえで、無理のない治療方法をご提案します。
岩田 隆紀 教授
出身大学
- 東京科学大学(旧 東京医科歯科大学)
- 2019年~東京科学大学(旧 東京医科歯科大学) 大学院医歯学総合研究科 医歯学系専攻 生体支持組織学講座 歯周病学 教授
所属学会
- 日本再生医療学会
- 日本歯周病学会
- 口腔病学会
- 日本保存歯科学会
研究分野
- 病態系口腔科学
- 口腔再生医学
- 歯科医用工学
歯科医師 小川 雄大
出身大学
- 東京科学大学(旧 東京医科歯科大学)
- 2016年 慶應義塾大学病院 歯科口腔外科 助教
所属学会
- 日本歯周病学会 認定医
- 日本口腔外科学会 認定医
- 日本口腔インプラント学会
- 株式会社モリタ インプラント・GBRコース講師
- THREE主催(200名以上在籍のスタディグループ)
歯を支える組織の病気「歯周病」
歯周病とは、「歯の周りの病気」という言葉の通り、歯を支えている歯ぐきや骨が、細菌によって少しずつ壊されていく病気です。歯の表面に細菌のかたまり(プラーク)が付着すると、その周囲で炎症が起こり、歯ぐきの腫れや出血がみられるようになります。さらに進行すると、歯を支える骨が溶かされ、歯がぐらつく原因にもなります。
2018年の8020推進財団の調査では、歯を失う原因として最も多いのが歯周病であることが明らかになりました。また、2022年の歯科疾患実態調査によると、25歳以上の約30%が歯周病に罹患しており、45歳以上では40%以上、65歳以上では50%以上にのぼると報告されています。
令和4年歯科疾患実態調査の結果(概要)(厚生労働省)より引用
令和4年歯科疾患実態調査の結果(概要)(厚生労働省)より引用
令和4年歯科疾患実態調査の結果(概要)(厚生労働省)より引用
歯周病はお口の中だけの問題ではありません
歯周病は、お口の中だけでなく、全身の病気を引き起こしたり、悪化させたりする要因の一つと考えられています。歯周病にかかっている状態では、24時間炎症が続いているともいわれています。
近年の研究により、歯周病は心疾患や脳梗塞、糖尿病、誤嚥性肺炎など、さまざまな病気と関わりがあることが報告されています。なかでも糖尿病との関係は深く、互いに悪影響を及ぼすことが知られています。歯周病の状態が改善することで、血糖値の改善が見られたという研究報告もあります。
このような背景から、健康を守るためにも、定期検診や歯周病治療はとても重要です。高輪の歯医者「TAKANAWA GATEWAY Clinics 歯科・矯正歯科」では医科・歯科の連携体制を整えており、全身状態に不安のある方にも配慮した診療を行っています。どうぞ安心してご相談ください。
歯周病基本治療の流れ
歯周ポケット検査
歯は顎の骨によって支えられています。歯と歯ぐきの間には「歯周ポケット」と呼ばれるすき間があり、健康な状態では深さは3mm以下です。
しかし、歯ぐきに炎症が起きたり、歯を支える骨が破壊されている場合には、歯周ポケットが4mm以上に深くなります。まずはこの歯周ポケットの状態を詳しく検査します。
ブラッシング指導
毎日のセルフケアがしっかり行えるよう、患者さま一人ひとりに合った歯ブラシの使い方をお伝えします。正しいブラッシングによって、歯ぐきの上に付着している歯石や汚れを取り除き、炎症を起こしにくい口腔環境へと整えていきます。
歯周ポケット検査(2回目)
歯ぐきの状態が改善していれば、基本治療はここで終了し、定期検診へ移行します。一方で、深い歯周ポケットが残っていたり、歯ぐきの下に硬い歯石が付着している場合には、さらに深い部分の歯石除去を行います。
歯周ポケット検査(3回目)
治療後の歯ぐきの状態を再度確認します。改善が認められれば、定期検診へと進みます。もし基本治療後も歯ぐきの改善が見られない場合には、歯周外科治療を検討することがあります。
歯周病は、一度良くなっても、日々のセルフケアや定期的なプロフェッショナルケアを怠ると再び悪化しやすい病気です。治療後の良い状態を維持するためにも、定期検診でお口の中をチェックし、継続的なケアを行うことが大切です。
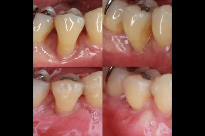
歯周基本治療の症例
治療前
治療後
治療前
治療後
歯周基本治療後の状態です。治療により歯ぐきの腫れや出血が改善し、炎症が落ち着いている様子が確認できます。歯石の除去によって、口臭やお口の中の不快感も軽減しています。
※歯周病によって歯ぐきが腫れていた場合、炎症が治まることで歯ぐきが引き締まり、治療前より下がったように見えることがあります。
※歯石除去後、一時的に知覚過敏の症状が出る場合があります。
| 症例タイトル | 歯周基本治療 |
|---|---|
| 主訴 | 口臭が気になる、歯がぐらついてきた気がする |
| 治療内容 | スケーリング(歯石取り)・SRP(歯茎の下の歯石とり)・歯磨き指導 |
| 年齢・性別 | 45歳・女性 |
| 治療期間 | 3ヶ月 |
| 治療費 | 保険診療 約9,000円(税込) |
| メリット | ・口臭軽減 ・歯茎の出血がなくなる ・痛みの違和感がなくなる |
| リスク・副作用 | ・知覚過敏症状が出ることがある ・歯茎の腫れが治り、歯茎が痩せたように感じることがある |
歯周外科治療
歯周基本治療で治らなかった場合
歯周組織再生療法
歯周基本治療では、歯ぐきの隙間から器具を入れ、歯ぐきの下に付着した歯石を除去します。この際、手の感覚を頼りに処置を行うため、平たい歯石や器具が入りにくい部位では、歯石が取り残されてしまうことがあります。
歯石の取り残しがある場合や、歯周組織の改善が十分に認められない場合には、歯ぐきを切開して開き、歯石を直接目で確認しながら除去します。
従来は、汚染源を取り除くことが治療の中心でしたが、近年では歯周組織の再生を目的とした術式や材料も登場しています。当院では、歯周組織再生療法に高い専門性を持つドクターが在籍し、状態に応じた治療を行っています。
| 症例タイトル | 歯周組織再生療法 |
|---|---|
| 主訴 | 歯茎が腫れている、歯もぐらついてきた |
| 治療内容 | 歯周組織再生療法(術前の準備で歯石取り、歯磨き指導が必要) |
| 年齢・性別 | 58歳・男性 |
| 治療期間 | 手術は1日で完了。その後経過観察と糸抜きのために来院。 なお、手術前には歯周基本治療を終えておく必要がある。 そのため個人差はあるが、手術までにおよそ3ヶ月ほどかかる。 |
| 治療費 | 165,000円(税込) |
| メリット | ・失ってしまった骨が再生する ・歯周ポケットが浅くなる |
| リスク・副作用 | ・腫れや痛みがでる可能性がある ・術前術後の管理など患者さまの協力が必須 |
歯ぐきが大きく下がってしまっている場合
歯ぐきが大きく下がってしまった場合、通常の歯周病治療だけで元の位置まで回復させることは、ほとんどありません。
このようなケースでは、主に上顎などから結合組織を採取し、下がってしまった部分に移植する治療を行います。移植した組織は、生体の一部としてなじみ、歯ぐきを適切な位置まで回復させることが期待できます。
| 症例タイトル | 結合組織移植術の症例 |
|---|---|
| 主訴 | 歯茎の隙間が気になる、冷たいものがすごくしみる |
| 治療内容 | 結合組織移植術 |
| 年齢・性別 | 65歳・女性 |
| 治療期間 | 手術は1日で完了。歯茎が落ち着くまで数ヶ月がかかる |
| 治療費 | 165,000円(税込) |
| メリット | ・歯茎が回復する ・見た目の改善 ・知覚過敏の軽減 |
| リスク・副作用 | 上顎から、結合組織を採取するため痛みが出ることがある |