高輪の歯医者「TAKANAWA GATEWAY Clinics 歯科・矯正歯科」|短期集中治療

こんなお悩みを
お持ちの方へ

  • 歯がボロボロで、どこから治せばよいかわからない
  • 痛みがあるが、忙しくて何度も通院できない
  • できるだけ早く治療を終わらせたい
  • 仕事や育児の都合で、通院回数を最小限にしたい
  • 海外赴任や転勤、結婚式など、期限が決まっている
  • まとめてしっかり治療を受けたい

このような
お悩みの方に、
短期集中治療コースをご用意しています

最短1日で、歯をきれいにすることも可能です

日本の保険診療制度は、国民全員が平等に治療を受けられる非常に優れた仕組みです。一方で、保険診療には決められたルールがあり、歯科医師もそのルールに沿って治療を進める必要があります。

そのため、治療内容によっては、どうしても治療期間が長くなり、通院回数が増えてしまう場合があります。また、保険の制約上、現在の医療水準から見ると十分とはいえない治療法を選択せざるを得ないケースもあります。

高輪の歯医者「TAKANAWA GATEWAY Clinics 歯科・矯正歯科」では、「保険外診療でもよいので通院回数を減らしたい」「できるだけ短期間で、質の高い治療を受けたい」という患者さまのご要望にお応えするため、自費診療による短期集中治療コースをご用意しています。

このコースでは、患者さま一人ひとりに合わせた専用の治療計画を立案し、1回あたり1~3時間の治療時間を確保します。時間をかけて集中的に治療を行うことで、精密で長持ちする歯科治療が可能です。

当院は平日21時まで診療を行い、土日祝日も診療しています。お忙しい方でも通いやすい環境を整えていますので、ご希望の方はぜひ一度カウンセリングにお越しください。

集中治療コースの特徴

  • 最短1日、短期間で治療の完了を目指します
  • 先進的な精密治療により、長期的な安定を重視します
  • 治療内容によっては、保険診療を選択できない場合があります
  • 複数のお見積りから、ご希望に合った治療プランを選択できます
  • ご希望に応じて、眠ったような状態で治療を受けられる鎮静麻酔も可能です
  • 長時間のご予約となるため、直前のキャンセルにはキャンセル料が発生します

短期集中治療の流れ

STEP 01

初回カウンセリング

現在お困りのことやご希望の治療内容、治療期間について丁寧にお伺いします。あわせて必要な検査を行い、その結果をもとにおおよその治療計画をご提案いたします。ご提案内容がご希望に合わない場合は、この時点で治療を中止していただいても問題ありません。

STEP 02

セカンドカウンセリング

初回カウンセリングでお伺いしたご希望と検査結果をもとに、患者さま一人ひとりに合わせた複数の治療プランをご案内します。内容を十分にご確認いただいたうえで、ご自身に最も合ったプランをお選びいただけます。こちらも、ご希望に沿わない場合は無理に進めることはありません。

STEP 03

治療開始

特別な予約枠を確保し、少ない通院回数・短期間での治療完了を目指します。治療内容によっては、複数の歯科医師による同時治療や、専門医が連携して治療を行うことも可能です。

STEP 04

メインテナンス

治療後は、定期的なメインテナンスを行うことで、治療後の歯をより長く健康な状態に保つことができます。当院では3~4ヶ月に1回のメインテナンスをご案内しています(メインテナンスは保険適用が可能です)。

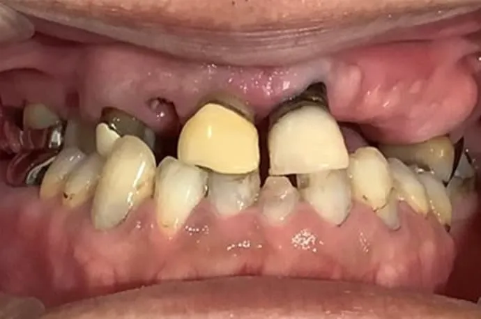
短期集中治療の症例

治療前

治療後

治療内容 インプラント6本を支えにした12本のブリッジ(オールオン6)
治療期間・回数 2回の治療で審美的な仮歯の状態まで改善。最終的な被せ物装着まで約8か月
治療費 2,750,000円(税込)

こちらの患者さまは、ご家族の結婚式を1か月後に控えておられ、「できるだけ早く前歯をきれいにしたい」とのご希望で来院されました。2回のカウンセリングを行った後、約3時間の治療で見た目の整った仮歯を製作しました。

その後は、この仮歯を活かしながら、インプラントを支えとしたセラミックの最終補綴物を製作しています。仮歯の段階でも大変ご満足いただき、結婚式も無事に終えられたとのご報告をいただき、私たちにとっても嬉しい症例となりました。

本症例は一例ではありますが、患者さま一人ひとりのご事情やご希望に合わせ、可能な限り短期間でのお悩み解決を目指しています。まずはお気軽にご相談ください。

よくあるご質問

Q.本当に1日で治療が終わりますか?

A.治療内容やお口の状態によって異なりますが、症例によっては1日で見た目を大きく改善することが可能です。最終的な被せ物の完成までには一定期間が必要な場合もありますが、短期間で仮歯まで仕上げることで、日常生活や大切な予定に支障が出にくい治療をご提案しています。

Q.治療中の痛みが不安です。大丈夫でしょうか?

A.高輪の歯医者「TAKANAWA GATEWAY Clinics 歯科・矯正歯科」では、治療時は局所麻酔を使用し、痛みに十分配慮した治療を行います。また、ご希望や治療内容に応じて、鎮静麻酔(リラックスした状態で受けられる麻酔)の併用も可能です。痛みや恐怖心が強い方も、安心してご相談ください。

Q.どんな治療でも短期集中で受けられますか?

A.すべての治療が短期集中に適しているわけではありません。お口の状態や全身の健康状態、治療内容によっては、回数や期間を分けた治療が適している場合もあります。まずはカウンセリングで診断を行い、短期集中治療が可能かどうかをご説明します。

Q.カウンセリングだけ受けることはできますか?

A.はい、カウンセリングのみのご来院も可能です。治療を無理におすすめすることはありませんので、治療期間・費用・内容について説明を聞いたうえで、じっくりご検討いただけます。「自分の場合は短期集中が可能か知りたい」という段階でも、お気軽にご相談ください。