【矯正治療】前突の症例|高輪の歯医者「TAKANAWA GATEWAY Clinics 歯科・矯正歯科」の症例
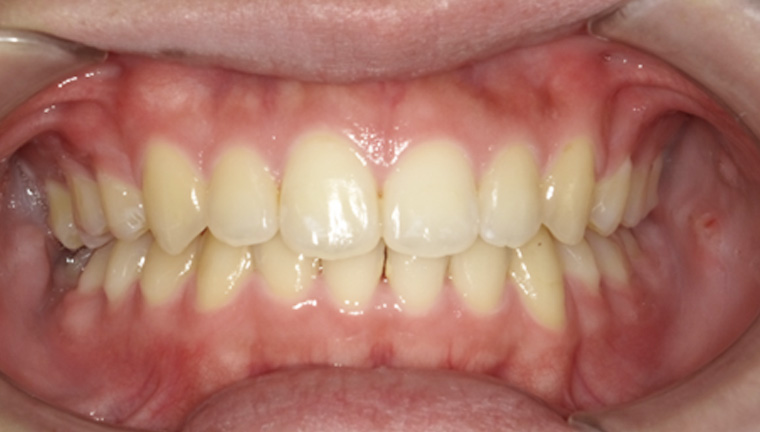
- 治療前

- 治療後

| 症例タイトル |
【矯正治療】前突の症例(上だけ抜歯)
|
| 患者さまの主訴 |
出っ歯を治したい
|
| 治療内容 |
ワイヤー矯正
|
| 患者さまの年齢 |
17歳(初診時)
|
| 患者さまの性別 |
女性
|
| 治療期間 |
2年1ヶ月
|
| 治療にかかった総額 |
¥770,000(税込)
|
| 治療のメリット |
・噛み合わせの改善
・見た目の改善
|
高輪の歯医者


-
〒108-0074
東京都港区高輪2丁目22番1号 THE LINKPILLAR 5F
TEL.03-5422-6182
平 日 10:00~21:00
土日祝 10:00~18:00
年中無休 ※年末年始のみ休診